general 50代女性「歯茎から出血している。歯周病の治療をしてほしい」歯周基本治療を行った症例
2023.02.24
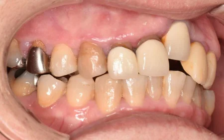
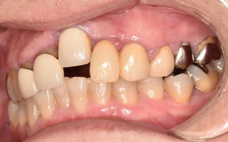
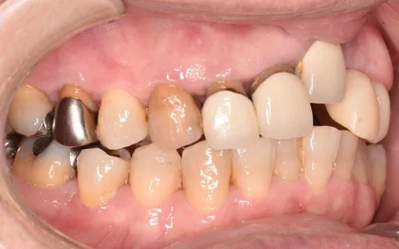
治療前
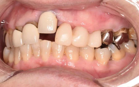
治療後
| 年齢と性別 | 50代 女性 |
|---|---|
| ご相談内容 | 「歯茎から血が出ており、歯周病かもしれないので治療してほしい」とご相談をいただきました。 |
| カウンセリング・診断結果 | お口を拝見したところ、全体的に炎症が強く、歯茎が腫れて出血量も多めで、「歯周病」と診断しました。 「歯磨きをする度に毎回出血している」とのことで、患者様自身もとてもお辛そうでした。 |
| 行ったご提案・治療内容 | 炎症を抑えるために、すぐに「歯周基本治療」を開始しました。 歯周基本治療とは、歯周病の原因となる歯石等を取り除き、その後に細菌感染が起こらないよう清潔な口内環境を作り出す治療です。 併せて「歯磨き指導」も行いました。 |
| 治療期間 | 約9ヶ月 |
| おおよその費用 | 保険適応 |
| 術後の経過・現在の様子 | 歯茎の腫れが治まり、炎症が落ち着きました。 「歯磨き時の出血がなくなり、歯茎の引き締まりも実感できた」と、患者様にもご満足いただけました。 |
| 治療のリスクについて | 定期的な「クリーニング」と「セルフケア(丁寧な歯磨きや歯間ブラシ等)」を怠ると、出血等の症状が再発する場合があります。 |


