general 30代女性「以前治療した部分の着色が気になる」変色して見た目が悪くなっていた保険の詰め物(コンポジットレジン)を作り直した症例
2023.01.29
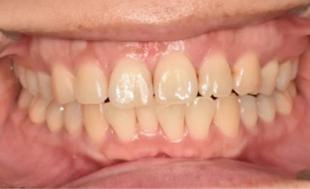
治療前
治療後
| 年齢と性別 | 30代 女性 |
|---|---|
| ご相談内容 | 「以前治療した部分の着色が気になる」とご相談をいただきました。 |
| カウンセリング・診断結果 | 診察したところ、過去に保険治療の白い歯科用プラスチックである「コンポジットレジン」で治療した右下の犬歯(3番)と第1小臼歯(4番)、左下の犬歯(3番)の合計3本が黒く着色しており、見た目が悪くなっていました。また、歯の表面に段差ができていました。 患者様へのヒアリングの結果、「痛みはない」とのことで、レントゲンでも着色部分に虫歯は認められませんでした。 |
| 行ったご提案・治療内容 | 虫歯治療の必要がなく、1回で治療が終わることから、以前と同じくコンポジットレジンで詰め物を作り直す治療方法をご提案したところ、ご了承を得ましたので治療を進めました。 |
| 治療期間 | 1日(治療本数によります)・1回 |
| おおよその費用 | 1本あたり約1,000円 |
| 術後の経過・現在の様子 | 患者様ご自身の歯に合った自然な色味の仕上がりとなり、とてもご満足いただけました。 |
| 治療のリスクについて | ・保険治療で使用するコンポジットレジンは着色しやすいため、再度着色を引き起こす可能性があります ・経年的変化により、コンポジットレジンが収縮したり、日々のブラッシングで削れたりして、しみる症状や2次虫歯を引き起こす可能性があります |


