general 一般歯科
-
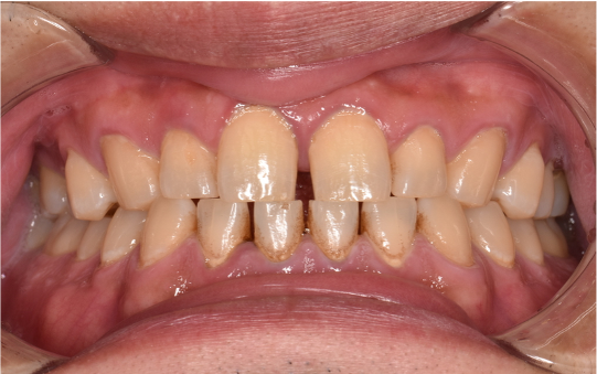
一般歯科 2022.0740代男性「前歯の詰め物の色を治したい」変色していた歯頚部の詰め物をCR(保険治療)で白くした症例
-
一般歯科 2022.0660代女性「前歯の差し歯が取れた」抜歯後に前装冠ブリッジで治療した症例
-
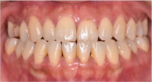
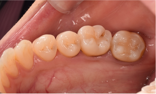
一般歯科 2022.0550代男性「左下の被せ物が取れた」根管治療と虫歯治療後にCAD/CAM冠とCR充填を行い、保険の範囲で治療した症例
-
一般歯科 2022.0430代男性「保険の範囲で詰め物を綺麗にしたい」全て保険診療で審美改善をした症例
-
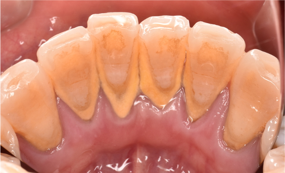
一般歯科 2022.0220代女性「歯の裏側を頑張って磨いても黒いのが取れない むし歯なのか心配なため、診てほしいです」歯周病治療を行った症例
-
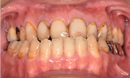
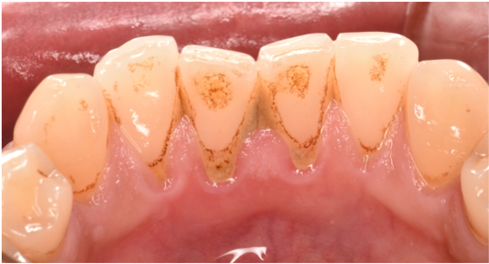
一般歯科 2022.0130代男性「タバコのヤニが気になる」縁上歯石・着色を除去し、その後歯周治療を行った症例
-
一般歯科 2021.1250代女性「着色が気になるのでクリーニングしてほしい」着色除去した症例
-
一般歯科 2021.1250代男性「検診とクリーニングをしてほしい」縁上歯石を除去した症例
-
一般歯科 2021.1140代女性「クリーニングの音が苦手だけど歯石をとってほしい」 超音波スケーラーと手用スケーラーで縁上歯石を除去した症例
-
一般歯科 2021.1050代男性「歯についた黒ずみが気になる 5年程歯科に行っていないため、しっかりクリーニングを受けたい」縁上歯石・着色を除去し、その後歯周治療を行った症例
-
一般歯科 2021.1020代女性「歯石を取ってほしい、歯の根元が黒くなっているのが気になる」縁上歯石を除去し、その後歯周治療を行った症例
-
一般歯科 2021.0930代男性「歯の茶渋が気になる」保険のクリーニングで着色除去をした症例


