general 40代女性「クリーニングの音が苦手だけど歯石をとってほしい」 超音波スケーラーと手用スケーラーで縁上歯石を除去した症例
2021.11.10
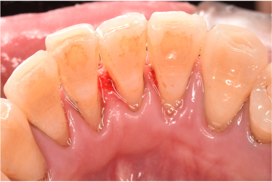
治療前
治療後
| 年齢と性別 | 40代 女性 |
|---|---|
| ご相談内容 | 「クリーニングの音が苦手だけど歯石をとってほしい」とご相談いただきました。 |
| カウンセリング・診断結果 | 下顎の前歯舌側に厚めの縁上歯石が付着していました。 |
| 行ったご提案・治療内容 | キーンとした高い音が特に苦手とのことでしたので、超音波スケーラーのパワーを落とし手用スケーラーをメインに歯石除去することをご提案しました。 |
| 治療期間 | 検査も含め約2週間 |
| おおよその費用 | 保険適用 |
| 術後の経過・現在の様子 | 「音の不快感もなく、とても安心してクリーニングを受けることができた。」と仰っていただきました。 術後しみる症状もなく、大変ご満足いただけました。 |
| 治療のリスクについて | 一時的に歯がしみる症状が出ることがあります。 歯茎の炎症が治まり引き締まることで、歯茎が下がったように見えることがあります。 歯と歯の間を埋めるように歯石が付着していた場合、隙間ができることがあります。 |


