general 30代男性「保険の範囲で詰め物を綺麗にしたい」全て保険診療で審美改善をした症例
2022.04.14
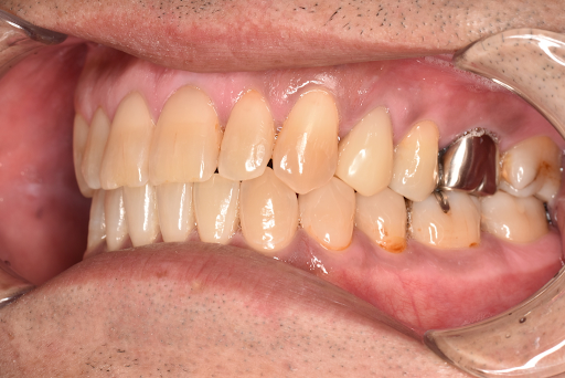
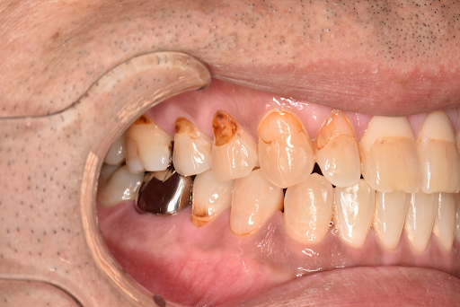
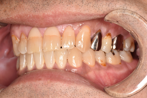
治療前
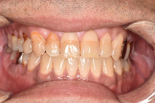
治療後
| 年齢と性別 | 30代 男性 |
|---|---|
| ご相談内容 | 「詰め物の色が合っていないため保険の範囲内で治療をしたい」とご相談いただきました。 |
| カウンセリング・診断結果 | ご相談のとおり歯と詰め物の境目ができており、審美的な観点でも目立つような印象でした。 |
| 行ったご提案・治療内容 | ご希望通り、保険の範囲内でできるコンポジットレジン(樹脂の詰め物)での治療を提案させていただき、同意を得た上で治療を開始しました。 |
| 治療期間 | 当日完了する治療ですので、一日で完了いたしました。 |
| おおよその費用 | 一歯あたり約1,000円 |
| 術後の経過・現在の様子 | 術後の経過は良好で、綺麗になった!と とても喜んでみえました。 定期的なメンテナンスにも通っていただいております。 |
| 治療のリスクについて | ・CRも十分なメンテナンスを行わないと、周辺から虫歯になることがあります。 ・治療が終了しても、メンテナンスとして約3ヶ月に一度の定期検診をご案内しております。 |


