ceramic 30代女性「金属の被せものを白い被せものに変えたい」E-max Inで白くした症例
2022.04.14
治療前
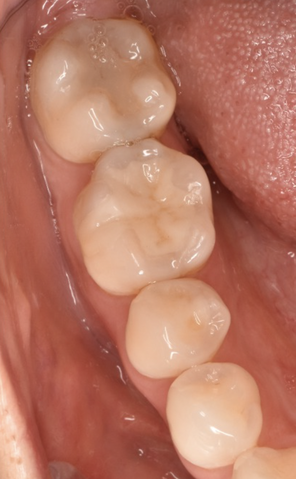
治療後
| 年齢と性別 | 30代 女性 |
|---|---|
| ご相談内容 | 「金属の被せものを白い被せものに変えたい」とご相談をいただきました。 |
| カウンセリング・診断結果 | ご相談の通り、奥歯2本分に金属の部分的な詰め物が見られました。 |
| 行ったご提案・治療内容 | ご希望に合わせ、いくつかのセラミック素材をご案内しました。 白い見た目で目立ちにくく、ちょうどよい強度のあるセラミックを選択されました。 |
| 治療期間 | 型取りから調整、装着までおよそ二週間程度の治療となりました。 |
| おおよその費用 | E-max In 2歯分 ¥99,000-(税込) |
| 術後の経過・現在の様子 | 見栄えがとてもよくなり、嬉しいです!と仰ってみえました。 治療も終了したため、定期検診に移行になりました。 |
| 治療のリスクについて | ・セラミックは使用環境によって外れてしまうことがあります。 ・セラミックも十分なメンテナンスを行わないと、周辺の歯から虫歯になることがあります。 ・強い食いしばりや硬度の高いものを誤って噛むと割れてしまうことがあります。 ・治療が終了しても、メンテナンスとして約3ヶ月に一度の定期検診をご案内しております。 |


