ceramic 30代男性「前歯の被せ物を白くしたい」とセラミックで白く治療した例
2022.03.10
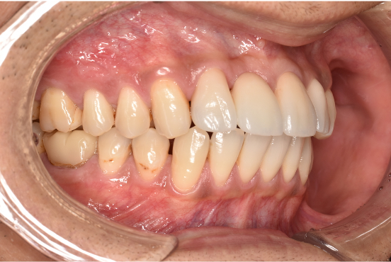
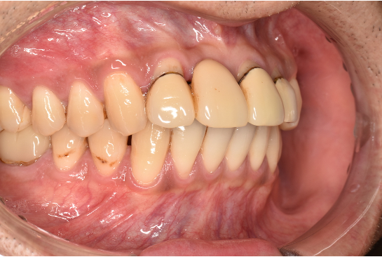
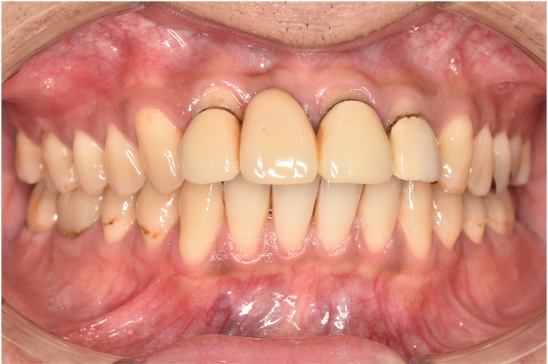
治療前
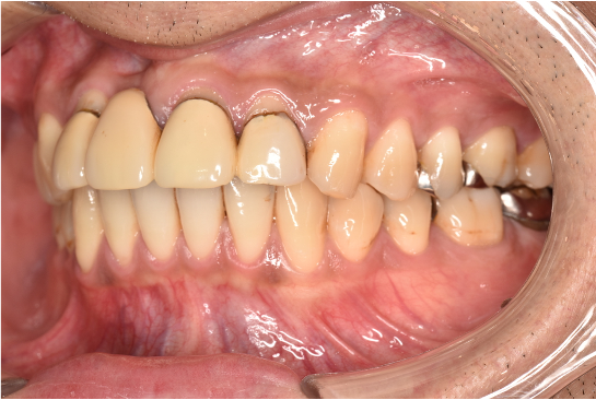
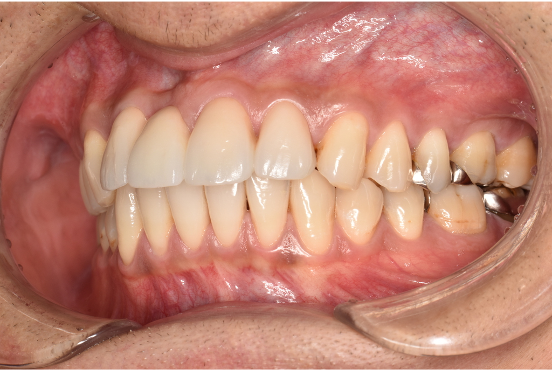
治療後
| 年齢と性別 | 30代 男性 |
|---|---|
| ご相談内容 | 「若いころに入れた前歯のブリッジの形と色が気になるため白いものに変えたい」とご相談いただきました。 |
| カウンセリング・診断結果 | ご相談の通り辺縁がフィットしておらず、色も少し黄色味が強い印象で前歯のみ目立つような状態になっていました。 |
| 行ったご提案・治療内容 | ご希望に合わせ、いくつかのセラミック素材をご案内しました。 特に今回は前歯の治療でしたので見た目の美しさを最優先し、オールセラミックのブリッジを選択されました。 |
| 治療期間 | 元々入っていたブリッジの除去から仮歯の期間を含めおおよそ3週間の治療となりました。 |
| おおよその費用 | 4歯分 治療総額 480,000円(税別) |
| 術後の経過・現在の様子 | 術後の経過は良好で色や形についてもご満足頂けました。 また、同時期にホワイトニングも行っていたため全体的に明るい印象に変わられました。 |
| 治療のリスクについて | ・セラミックは使用環境によって外れてしまうことがあります。 ・セラミックも十分なメンテナンスを行わないと、周辺の歯から虫歯になることがあります。 ・強い食いしばりや硬度の高いものを誤って噛むと割れてしまうことがあります。 |


