general 30代男性「タバコのヤニが気になる」縁上歯石・着色を除去し、その後歯周治療を行った症例
2022.01.20
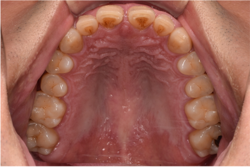
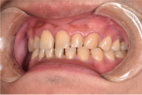
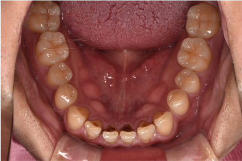
治療前
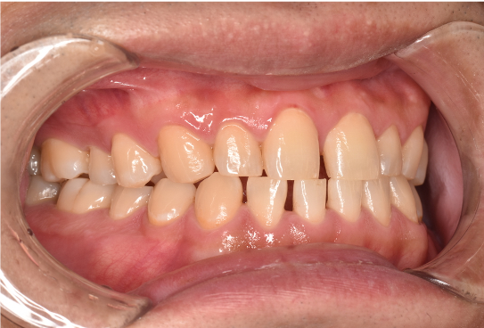
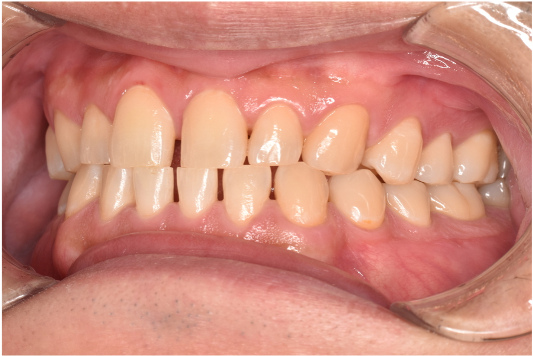
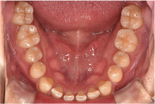
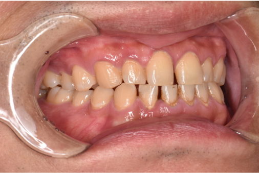
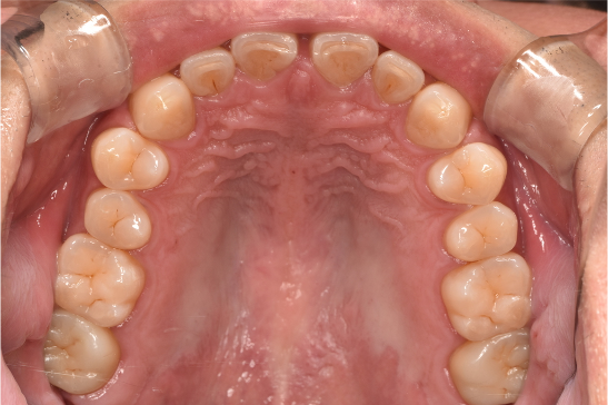
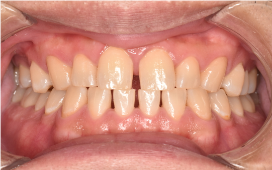
治療後
| 年齢と性別 | 30代 男性 |
|---|---|
| ご相談内容 | 「タバコのヤニが気になる、クリーニングしてほしい」とご相談いただきました。 |
| カウンセリング・診断結果 | こちらの患者様は1日20本ほどタバコを吸われる方で、歯医者は十数年振りとのことでした。 縁上歯石と全体的に縁下歯石が付着しており、歯ぐきが赤く腫れ炎症しておりました。前歯の歯頸部や裏側に着色も認められました。歯周病検査により中等度の歯周炎が認められたため歯周治療も必要でした。 |
| 行ったご提案・治療内容 | 初診時はブラッシング方法などセルフケアについて説明を行い、縁上歯石・着色の除去を行いましました。 歯肉の炎症がある程度落ち着いたところで、後日再評価を行い歯周治療へ移行しました。 |
| 治療期間 | 約4か月 |
| おおよその費用 | 保険適用 |
| 術後の経過・現在の様子 | 綺麗になったと喜んでいただき、この状態を保てるようセルフケアにも力を入れてくださっています。3ヶ月に一度の定期検診にも通っていただいています。 |
| 治療のリスクについて | ・歯周病治療を行うと、歯肉腫脹していたところが引き締まり根面が露出する恐れがあります。 ・歯周病治療後に歯肉が引き締まると根面が露出し、少ししみる可能性があります。一般的には、少し様子見ていただけると徐々に落ち着きます。 ・歯周病治療後も、定期健診にてクリーニングをお勧めしております。 ・セルフケアとしてご自宅でのケアを毎日しっかり行う必要があります。 |


