general 50代女性「着色が気になるのでクリーニングしてほしい」着色除去した症例
2021.12.20
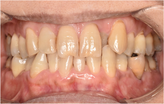
治療前
治療後
| 年齢と性別 | 50代 女性 |
|---|---|
| ご相談内容 | 「着色が気になるためクリーニングしてほしい」とご相談いただきました。 |
| カウンセリング・診断結果 | 歯の裏側と歯頸部に着色が強固に付着していました。 |
| 行ったご提案・治療内容 | 初診時にセルフケアの方法をご説明し、その後4回に分けて着色を除去しました。 強固に付着していたため、手用スケーラー・超音波スケーラー・エアフローなどいくつかの器具を使用し除去しました。 |
| 治療期間 | 約1ヶ月 |
| おおよその費用 | 保険適用 |
| 術後の経過・現在の様子 | 「すごくきれいになった」と大変ご満足いただきました。 |
| 治療のリスクについて | ・コーヒー、紅茶など飲まれる方は定期的に着色除去が必要。 ・歯、本来の色は取り戻せるがこれ以上白くしたいということであれば、ホワイトニングが必要となります。 |


