general 20代女性「歯石を取ってほしい、歯の根元が黒くなっているのが気になる」縁上歯石を除去し、その後歯周治療を行った症例
2021.10.10
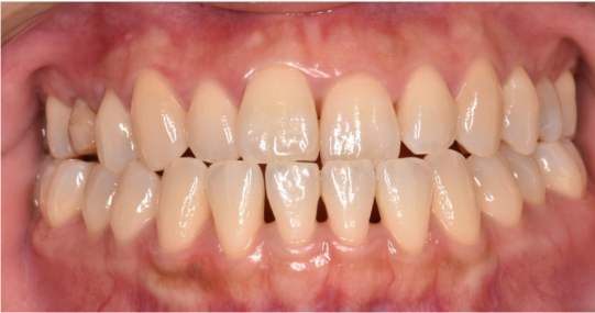
治療前
治療後
| 年齢と性別 | 20代 女性 |
|---|---|
| ご相談内容 | 「歯石を取ってほしい、歯の根元が黒くなっているのが気になる」とご相談をいただきました。 |
| カウンセリング・診断結果 | ご相談通り、全体的に歯石が付着しており、縁上・下歯石が全体的に付着していました。<br> 歯周病の検査を行ったところ全体的に歯周病が進行しており、中等度の歯周炎が認められました。 |
| 行ったご提案・治療内容 | 初診時に撮影したレントゲン、口腔内写真、歯周検査の結果を用いて、歯周治療の必要性をお伝えしました。<br> 初診時は歯ブラシのお話しをさせていただき、セルフケアの方法について説明を行い、その後歯肉縁上歯石を除去しました。<br> 歯肉の炎症がある程度落ち着いたところで、後日、再評価を行い歯周治療へ移行しました。 |
| 治療期間 | 約3ヶ月 |
| おおよその費用 | 保険適応 |
| 術後の経過・現在の様子 | 術後の経過は順調で、今まで歯磨きを行うと出血が出ていたが、歯周治療終了したら、出血が治まったと仰ってみえました。 |
| 治療のリスクについて | ・歯周病治療を行うと、歯肉腫脹していたところが引き締まり根面が露出する恐れがあります。<br> ・歯周病治療後に歯肉が引き締まると根面が露出し、少ししみる可能性があります。一般的には、少し様子見ていただけると徐々に落ち着きます。<br> ・歯周病治療後も、定期健診にてクリーニングをお勧めしております。<br> ・セルフケアとしてご自宅でのケアを毎日しっかり行う必要があります。 |


