case 30代男性「すきっ歯を治したい」正中離開をインビザラインライトにて矯正治療を行った症例
2022.09.30
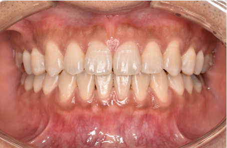
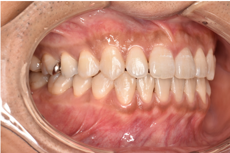
治療前
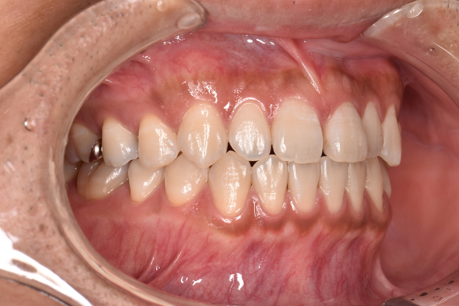
治療後
| 年齢と性別 | 30代 男性 |
|---|---|
| ご相談内容 | 「すきっ歯を治したい」とご相談いただきました。 |
| カウンセリング・診断結果 | 診察したところ、上の前歯の真ん中に隙間が空いている状態でした(正中離開)。 |
| 行ったご提案・治療内容 | CTや3Dスキャンでの精密検査の結果、奥歯の噛み合わせ等には大きな問題はありませんでした。 そのため、インビザラインライトでの治療をご提案しました。 |
| 治療期間 | 約6ヶ月 |
| おおよその費用 | ¥400,000(税別) |
| 術後の経過・現在の様子 | 予定通りに治療が完了しました。 患者様にも「思っていたより痛みもなく、綺麗に並んで嬉しい」とご満足いただけました。 |
| 治療のリスクについて | ・矯正により歯に痛みが出る場合があります。 ・矯正により歯がしみやすくなる場合があります。 ・歯肉が退縮する場合があります。 ・矯正治療は後戻りする可能性があります。 |


