general 20代男性「歯周病治療と歯石を除去したい」中等度の歯周炎に歯石除去と歯周病治療を行った症例
2022.09.30
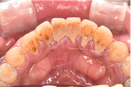
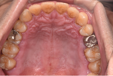
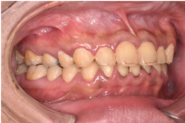
治療前
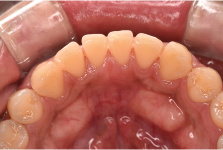
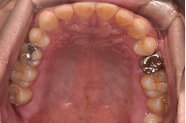
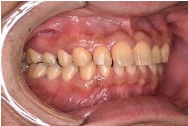
治療後
治療中詳細
| 年齢と性別 | 20代 男性 |
|---|---|
| ご相談内容 | 「会社の健診で『歯周病だから歯石を除去してきてください』と言われた」とご相談いただきました。 |
| カウンセリング・診断結果 | 診察したところ、全体的に歯石が付着していて、特に歯茎の下には黒い歯石が付着していました。 歯茎も赤く腫れており、歯周病の検査を行ったところ、全体的に歯周病が進行し、中等度の歯周炎が認められました。 |
| 行ったご提案・治療内容 | 初診時に撮影したレントゲン、口腔内写真、歯周病検査の結果を用いて、歯周病治療の必要性をお伝えしました。 初診時は歯ブラシの使い方などセルフケアの方法をご説明し、その後に歯肉縁上歯石(歯肉より上に付く黄色または乳白色の歯石)を除去しました。 歯肉の炎症がある程度落ち着いた後日、再評価を行い、歯周治療へ移行しました。 |
| 治療期間 | 約3ヶ月 |
| おおよその費用 | 保険適応 |
| 術後の経過・現在の様子 | 経過は良好です。 |
| 治療のリスクについて | ・歯周病治療を行うと、歯肉腫脹していたところが引き締まり、根面が露出する恐れがあります。 ・歯周病治療後、歯肉が引き締まって根面が露出することで、少ししみる可能性があります。一般的には、少し様子見ていただくと徐々に落ち着くことがほとんどです。 ・歯周病治療後も、定期健診にてクリーニングをお勧めします。 ・セルフケアとしてご自宅でのケアを毎日しっかり行う必要があります。 |


