ceramic 40代女性「銀歯を白く目立たないようにしたい」メタルインレーを自費のE-maxインレーとフルジルコニアクラウン、保険のCRに変更した症例
2022.10.31
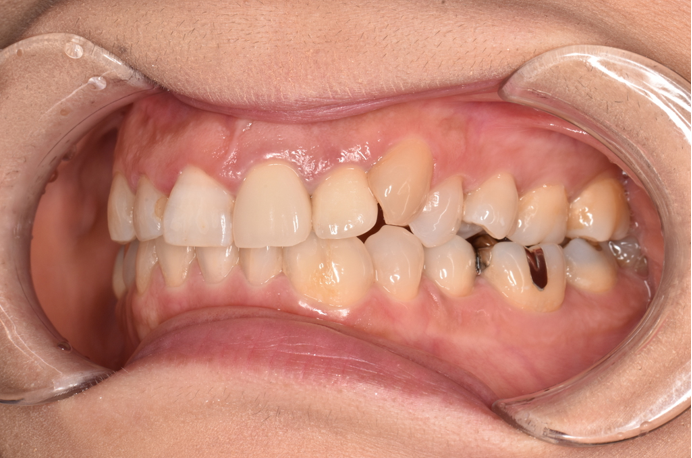
治療前
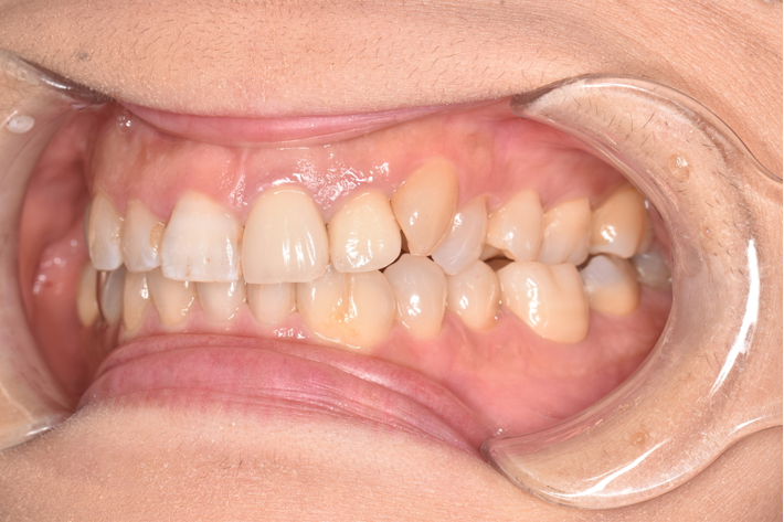
治療後
| 年齢と性別 | 40代 女性 |
|---|---|
| ご相談内容 | 「下の銀歯を白く目立たないようにしたい。虫歯になっていると思う」とご相談いただきました。 |
| カウンセリング・診断結果 | レントゲンで確認したところ、患者様がご心配されていた通り、銀歯の下に虫歯が認められました。 治療に当たり、今後また虫歯にならないよう、長持ちする材料をご希望されました。 |
| 行ったご提案・治療内容 | 手前の銀歯は適合の良いE-maxインレーでの治療、奥から3番目の歯は銀歯の下にできていた虫歯が大きく、噛む力がかかりやすい歯のため、強度のあるフルジルコニアクラウンでの治療をご提案しました。 また、虫歯の範囲が小さかった奥の歯は、保険の白い詰め物(CR)で治療を行うことにしました。 CRとは、コンポジットレジンとも呼ばれ、主に小さな虫歯治療で活用される、歯科用プラスチックです。 |
| 治療期間 | ・保険診療 CR:1日 ・自由診療 E-maxインレー:型取りから調整、装着まで約2週間 (保険診療と自由診療は別日の診療) |
| おおよその費用 | ・保険診療 CR(1歯分):約¥1,000- (保険負担 3割の場合) ・自由診療 E-maxインレー(1歯分):¥45,000-(税別)、フルジルコニアクラウン(1歯分):¥90,000-(税別) |
| 術後の経過・現在の様子 | 噛み合わせの問題はなく、見た目もきれいになった、と大変ご満足いただけました。 周辺から虫歯にならないよう、3ヶ月ごとの定期検診とクリーニングにご通院いただいています。 |
| 治療のリスクについて | ・CRも十分なメンテナンスを行わないと、周辺から虫歯になることがあります。 ・セラミックは使用環境によって外れてしまうことがあります。 ・セラミックも十分なメンテナンスを行わないと、周辺の歯から虫歯になることがあります。 ・強い食いしばりや硬度の高いものを誤って噛むと割れてしまうことがあります。 ・治療が終了しても、メンテナンスとして約3ヶ月に一度の定期検診をご案内しております。 |


