ceramic セラミック
-
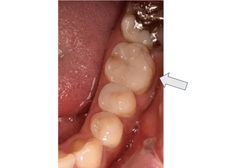
セラミック 2023.0330代男性「左下の詰め物が欠けた」透明感のある白さで耐久性の高いガラスセラミック「e-max」で綺麗に作り直した症例
-
セラミック 2023.0330代女性「歯が痛い」徹底的に虫歯除去した部分を、白くてなじみがいいセラミック素材の詰め物「E-maxインレー」で治療した症例
-
セラミック 2023.0340代男性「前から見た時に銀歯が見えて気になるので、白い物に変えたい」3本の銀歯を、セラミックでできた「E-maxインレー」と「オールセラミッククラウン」で自然な見た目に改善した症例
-
セラミック 2023.0330代女性「上の奥歯がしみて痛い」やや深い虫歯を取り除き、目立ちにくい白さで強度もあるセラミックの詰め物「E-maxインレー」で修復した症例
-
セラミック 2023.0330代男性「詰め物が浮き上がっている気がする」合わなくなったゴールドの詰め物を外して虫歯を取り除き、自然な白さで強度もあるセラミックの「E-maxインレー」で修復した症例
-
セラミック 2023.0330代女性「左上の歯が2日前から痛む」神経まで達した虫歯を取り除き、自然な色の被せ物「オールセラミッククラウン」で美しく修復した症例
-
セラミック 2023.0340代男性「銀歯を白い歯に変えたい」金属の被せ物を外し、自然な白さで強度もある「フルジルコニアクラウン」で周りの歯と色を合わせた症例
-
セラミック 2023.0330代女性「左下の歯が痛い」詰め物の下で広がっていた虫歯を取り除き、ガラスセラミック「e-max」で修復した症例
-
セラミック 2023.0330代女性「虫歯を白く治してほしい」天然歯のような耐久性と白さを再現できるセラミック「e-max」で修復した症例
-
セラミック 2023.0350代女性「右下奥歯の銀歯が外れた。見た目が良くて外れにくい自費の詰め物に変えてほしい」詰め物が合わず虫歯になった歯を、透明感のある白さでフィット感が良い「e-max」で修復した症例
-
セラミック 2023.0330代女性「右上の歯がしみる」虫歯になった歯を、透明感のある白さで強度もあるセラミックの「E-maxインレー」で見た目も美しく修復した症例
-
セラミック 2023.0330代女性「目立たず長持ちする材料で虫歯を治したい」透明感のある白さで適度な強度のあるセラミック「E-max」の被せ物で歯を修復した症例


