ceramic 30代女性「左上の歯が2日前から痛む」神経まで達した虫歯を取り除き、自然な色の被せ物「オールセラミッククラウン」で美しく修復した症例
2023.03.13
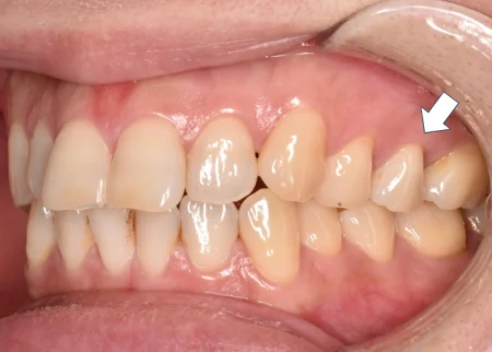
治療前
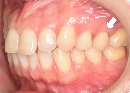
治療後
| 年齢と性別 | 30代 女性 |
|---|---|
| ご相談内容 | 「左上の歯が2日前から痛む」とご来院されました。 |
| カウンセリング・診断結果 | 拝見したところ、左上の手前から5番目の歯(第2小臼歯/5番)の虫歯が進行し、神経まで達していました。 虫歯に感染してしまった神経は残すことが難しいため、神経を取ってから歯の形を修復する治療が必要でした。 患者様は「なるべく目立ちにくくて自然な見た目にしてほしい」とご希望でした。 |
| 行ったご提案・治療内容 | 虫歯に感染した神経をきれいに取り除いてから、土台を作り、被せ物を装着する治療を行いました。 土台には、白くて歯に自然な透明感を与えられる「ファイバーコア」を使用しました。 被せ物の種類は、色の調整が細かくでき、見た目も自然に整えられる「オールセラミッククラウン」をご提案し、同意いただきました。 被せ物の色を隣の歯にしっかりと合わせ、より自然な仕上がりになるよう努めました。 |
| 治療期間 | 約2ヶ月 |
| おおよその費用 | 約130,000円 |
| 術後の経過・現在の様子 | 周りの歯の色に馴染んだ美しい見た目になり、噛み合わせも問題ありません。 患者様にも「自然な色で嬉しい。噛んだときも違和感がなく、快適に食事ができる」と大変ご満足いただきました。 現在は定期的な検診でご来院いただいております。 |
| 治療のリスクについて | ・セラミックは使用環境によって外れてしまうことがあります。 ・セラミックも十分なメンテナンスを行わないと、周辺の歯から虫歯になることがあります。 ・強い食いしばりや硬度の高いものを誤って噛むと割れてしまうことがあります。 ・治療が終了しても、メンテナンスとして約3ヶ月に一度の定期検診をご案内しております。 |


