ceramic セラミック
-
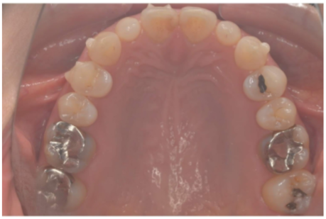
セラミック 2021.0930代女性「銀歯をすべて白くしたい」E-maxセラミックと保険のレジンで白くした症例
-
セラミック 2021.0930代女性「虫歯をセラミックで治したい」むし歯治療後にセラミックのインレー・クラウンを使用した症例
-
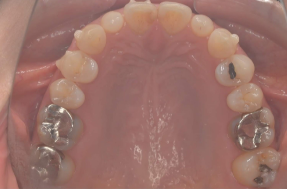
セラミック 2021.0750代男性「銀歯を白くしたい」E-max のインレーで白くした症例
-
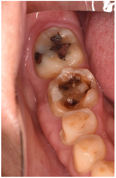
セラミック 2021.0740代男性「詰め物が取れた」ジルコニアのインレーで白く治療した症例
-
セラミック 2021.0740代女性「歯並びを治したい、銀歯を白くしたい」インビザライン矯正とセラミック治療
-
セラミック 2021.0740代女性「歯並びを治したい、銀歯を白くしたい」インビザライン矯正とセラミック治療の症例


