ceramic セラミック
-
セラミック 2023.0240代女性「銀歯を白くしたい」奥歯の複数の詰め物と被せ物を全てセラミックとジルコニアで白く作り直した症例
-
セラミック 2023.0240代女性「保険の銀歯を白くしたい」目立っていた金属の詰め物を外し、透明感と強度のあるセラミック「E-maxアンレー」で見た目も美しく修復した症例
-
セラミック 2023.0260代女性「銀歯が外れた」金属の詰め物が合わなくなった歯を、虫歯になりにくいセラミック「E-maxインレー」で見た目も美しく修復した症例
-
セラミック 2023.0230代女性「歯がしみる」2次的な虫歯を取り除き、自然な見た目で強度もあるセラミック「E-maxインレー」で治療した症例
-
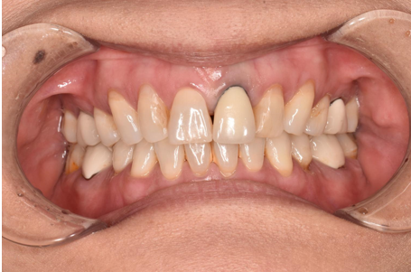
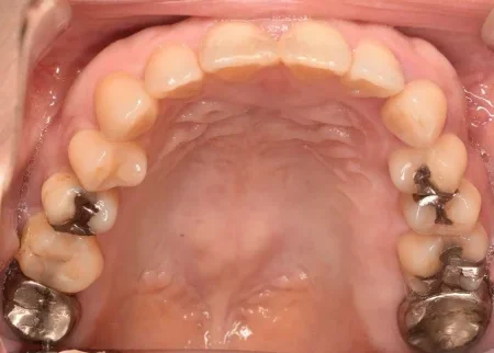
セラミック 2023.0250代男性「右上のブリッジを白くて強度が高いものに変えたい」保険のブリッジを除去し、自費のオールセラミックとフルジルコニアで作り直した症例
-
セラミック 2023.0130代女性「上の歯並びを綺麗にしたい」セラミックの被せ物により、ガタガタに生えていた前歯の見た目を短期間で改善した症例
-
セラミック 2023.0140代女性「上の前歯が黄ばみ、点々と色がついているのが気になる。歯を白くしたい」劣化した保険治療の被せ物をジルコニアで作り直した症例
-
セラミック 2023.0130代女性「歯がしみる」虫歯になっていた左上の奥歯をE-maxインレーで治療した症例
-
セラミック 2023.0140代女性「前歯の被せ物の色が気になる」オールセラミッククラウンを被せた症例
-
セラミック 2022.1240代女性「歯の隙間に食べ物が挟まる」メタルインレーを自費のE-maxインレーでやり替えた症例
-
セラミック 2022.1260代男性「銀歯を全部白いものに変えたい」銀歯をE-maxインレー、フルジルコニアインレー・クラウンで白く変更した症例
-
セラミック 2022.1170代女性「白い被せ物が欠けたのか黒く見えるので新しくしたい」フルジルコニアクラウンで治療した症例


