ceramic 40代女性「銀歯を白くしたい」奥歯の複数の詰め物と被せ物を全てセラミックとジルコニアで白く作り直した症例
2023.02.28
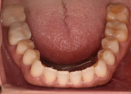
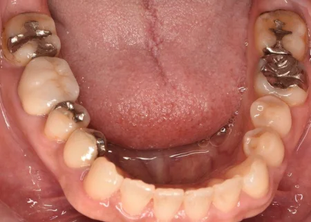
治療前
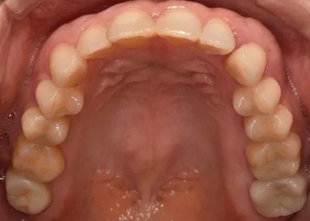
治療後
| 年齢と性別 | 40代 女性 |
|---|---|
| ご相談内容 | 「人と接する仕事柄、お口を開けた時に銀色の詰め物や被せ物が見えることに抵抗がある。白い素材に作り直したい」とご相談を受けました。 |
| カウンセリング・診断結果 | 診察したところ、奥歯には銀でできた詰め物や被せ物がいくつも入っており、お口を開けると目立つ状態でした。 |
| 行ったご提案・治療内容 | 患者様のご要望通り、銀でできた詰め物と被せ物を全て取り外して、白い素材で作り直す治療の計画を立てました。 部分的な詰め物は、隣り合う歯の色味に合わせやすく自然な白さが特徴の素材である「セラミック」、被せ物はセラミックの中でも強度が高い「ジルコニア」で作製しました。 |
| 治療期間 | 約1年弱 |
| おおよその費用 | 約700,000円 |
| 術後の経過・現在の様子 | 奥歯全体が白く美しくなり、お口を開けた時も自然で、患者様も大変満足されています。 メンテナンスに移行した現在も、月1回の頻度でクリーニングにご来院していただいています。 |
| 治療のリスクについて | ・セルフケアを怠ると、詰め物や被せ物の境目から虫歯になることがあります。 ・歯と詰め物や被せ物の境目が着色する場合があります。 |


