ceramic 30代女性「上の歯並びを綺麗にしたい」セラミックの被せ物により、ガタガタに生えていた前歯の見た目を短期間で改善した症例
2023.01.23
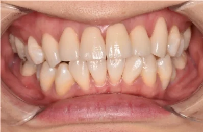
治療前
治療後
治療中詳細
最終的な被せ物を入れる前に、噛み合わせや見た目の確認として、仮歯の「プロビジョナルレストレーション」を装着しました。
| 年齢と性別 | 30代 女性 |
|---|---|
| ご相談内容 | 「下の歯並びはいいので、上の歯並びを綺麗にしたい」とご来院されました。 |
| カウンセリング・診断結果 | 診察したところ、上下の前歯がガタガタに生えていましたが、骨格は平均に近く、大きな問題はありませんでした。ただ、矯正方法によっては親知らず、または第1小臼歯(4番)の抜歯が必要でした。 患者様は「正直見た目が綺麗になればどんな治療法でもいいです。いくつか治療法の説明を聞いてから検討したい」とおっしゃられました。 |
| 行ったご提案・治療内容 | 当院がご提供している矯正方法として、マウスピース矯正の一種である「インビザライン」・「セラミック矯正」・「インビザラインとセラミック矯正」の3つの治療のメリットとデメリットをご説明しました。 インビザラインだけで矯正を行う場合、前歯が大きいため、歯の移動量が多くなること、歯の移動先にある親知らずを抜く必要があること、治療期間は約2〜3年となることをご説明しました。 セラミック矯正の場合は、左上の犬歯(3番)から右上の犬歯(3番)までを「オールセラミック」の被せ物にし、治療期間は歯の神経の治療も含めて約2ヶ月とご説明しました。 インビザラインとセラミック矯正で治療を行う場合は、第1小臼歯を抜いてスペースを作り、歯を移動させ、最終的に前歯はオールセラミックの被せ物にすることをお話しました。 それぞれの治療内容をご検討いただいた結果、患者様はセラミック矯正をご選択されました。 被せ物を装着する前には、最終的な形に合わせた仮歯である「プロビジョナルレストレーション」を装着し、患者様に噛み合わせや見た目を確認していただき、丁寧に調整を行いました。(治療中の写真) |
| 治療期間 | 約2ヶ月 |
| おおよその費用 | 800,000円(右上の犬歯から左上の犬歯までのオールセラミックの被せ物) 100,000円(右下の犬歯のポーセレンラミネートベニア) |
| 術後の経過・現在の様子 | 短期間で前歯の大きさや形が整い、綺麗な見た目の歯並びになりました。 被せ物の治療後、患者様は「前歯のセラミックの色味に合わせて、歯全体を白くしたい」とご希望されましたので、ホワイトニング治療を行いました。 患者様には「自分の口に自信がもてるようになった」と、とても喜んでいただけました。 |
| 治療のリスクについて | ・口内の経年変化に伴い、歯茎が下がって被せ物と歯茎の間に隙間が生じる可能性があります。 ・神経の処置を行った歯は、術後に違和感や痛みなどの症状が出る場合があります。これらの症状は数年後に現れるケースもあります。 ・治療後の経過が思わしくない場合、抜歯となる場合もあります。 ・ジルコニア、オールセラミックスなどの被せ物は、金属ではないため、強く噛み合わせた時や何かの拍子に欠けたり割れたりすることが稀にあります。 |


