general 20代女性「歯科検診をしてほしい」約10年ぶりの歯医者で、付着していた歯石の除去とブラッシング指導により歯周病治療を行った症例
2023.01.25
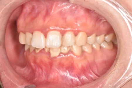
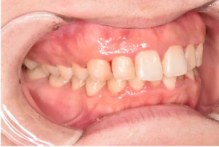
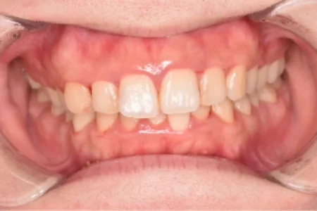
治療前
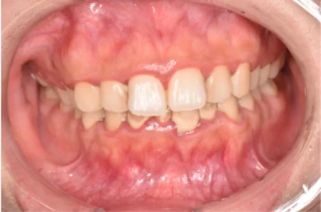
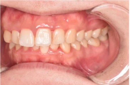
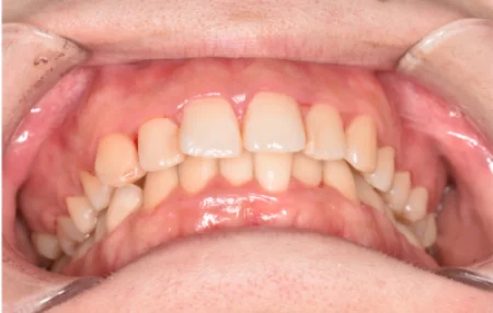
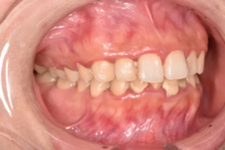
治療後
| 年齢と性別 | 20代 女性 |
|---|---|
| ご相談内容 | 「歯科検診をしてほしい」とご来院されました。 |
| カウンセリング・診断結果 | 「歯医者に行ったのは約10年前が最後」とのことで、歯科検診が久しぶりの患者様でした。 歯科検診では、口腔内診察に加え、レントゲン撮影や歯石の付着度合を調べる検査など歯周病検査を行いました。 その結果、歯を支えている骨である「歯槽骨」が顎全体で一律に吸収されている「水平的骨吸収」が見られました。 また、歯茎の上(縁上)や歯茎の中(縁下)に歯石が付着しており、歯周病と診断しました。 |
| 行ったご提案・治療内容 | 歯周病の治療が必要であること、歯周病治療には歯科医院でのクリーニングの他、患者様のご自宅でのケアがとても重要であることをご説明し、患者様からご了承を得ましたので治療に進みました。 初診時には、歯の表面に付着している縁上歯石を取り除きました。 2回目にご来院された時は、歯茎の中に付着している縁下歯石を順番に除去していきました。 また、ブラッシング指導を行って、患者様にもご協力いただき、歯周病治療に取り組みました。 |
| 治療期間 | 数ヶ月(縁上歯石の除去は1日で可能です) |
| おおよその費用 | 保険適応 |
| 術後の経過・現在の様子 | 患者様のご協力と、定期的なメンテナンスを続け、歯石が付着しない状態を維持しています。まだ完全な状態ではないため、今後も継続して観察していく予定です。 |
| 治療のリスクについて | ・歯石を除去すると、数日間冷たいものがしみる可能性がありますが、一過性の症状であり、数日で落ち着くことがほとんどです。 ・歯茎の炎症が落ち着くと歯茎が引き締まり、歯茎が下がったように感じることがあります。 ・歯周病はご自宅でのセルフケアと歯医者での管理が両立することで治癒していきます。 |


