ceramic 40代女性「上の前歯が黄ばみ、点々と色がついているのが気になる。歯を白くしたい」劣化した保険治療の被せ物をジルコニアで作り直した症例
2023.01.21
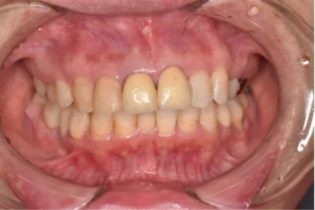
治療前
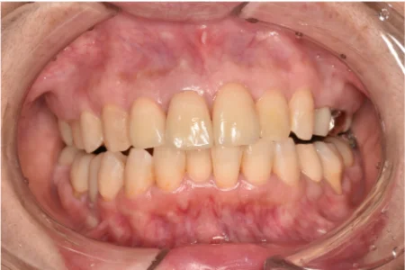
治療後
| 年齢と性別 | 40代 女性 |
|---|---|
| ご相談内容 | 「上の前歯3本が黄ばんでおり、前歯全体も点々と色がついていて気になる。歯を白くしたい」とご相談をいただきました。 |
| カウンセリング・診断結果 | 右上の中切歯(1番)と左上の中切歯(1番)は保険で作製した被せ物が入っており、その内の1本は表面のレジンが剥がれて、中の金属が透けて見えていました。 また、被せ物の内側で虫歯が進行している可能性があり、患者様にもその旨をお伝えしました。 右上側切歯(2番)は、過去に神経の治療をしたことが原因で変色していました。 |
| 行ったご提案・治療内容 | 新たに被せ物を作り変える際に、再度、保険治療内の素材で作製することも可能でしたが、時間が経つと今回のようにレジンが剥がれてくるリスクや、色味をこれ以上綺麗にするのは難しいことをお伝えしました。 また、神経を抜いている歯はホワイトニングで白くすることは難しいため、審美性を求めるのであれば右上側切歯(2番)も被せ物で治療することをご提案しました。 患者様に新たな被せ物の素材をヒアリングしたところ、「天然歯に近い自然な白さの色味がいい」とご希望でした。そのため、患者様のご希望の色味にするには自費治療の素材「ジルコニア」が適していることや、費用面(保険治療は1歯約1万円、ジルコニアは1歯約10万円)も丁寧にご説明したところ、ご了承を得ましたので治療を進めました。 被せ物を外したところ、虫歯が1本見つかりましたので、虫歯を取り切ってから被せ物の型取りを行いました。 |
| 治療期間 | 約2ヶ月(1本の虫歯治療、仮歯期間も含む) |
| おおよその費用 | 400,000円 |
| 術後の経過・現在の様子 | 治療後から現在まで、腫れや痛みはなく、噛み合わせなど使用感も問題ありません。 色味も周囲の歯と違和感がない、自然な白さに仕上がり、患者様にご満足いただけています。 |
| 治療のリスクについて | ・お口の中の経年変化に伴い、歯茎が下がると被せ物と歯茎の間に隙間が生じる可能性があります。 ・ジルコニア、オールセラミックスの被せ物は、金属を使わないので審美性が優れていますが、噛み合わせの関係や何かの拍子に欠けたり割れてしまうことが稀にあります。 |


