ceramic 40代女性「前歯の被せ物の色が気になる」オールセラミッククラウンを被せた症例
2023.01.15
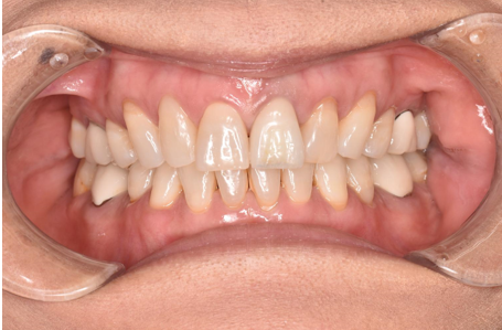
治療前
治療後
| 年齢と性別 | 40代 女性 |
|---|---|
| ご相談内容 | 「前歯の被せ物の色が気になる」とご相談いただきました |
| カウンセリング・診断結果 | 診察したところ、前歯(左上1番)の被せ物の一部に変色(補綴マージン変色)が見られました。 |
| 行ったご提案・治療内容 | 被せ物の種類として、色の調整が細かくでき、見た目もより自然に整えることができるオールセラミッククラウンをご提案しました。 より自然に仕上げるために、隣の歯の色に合うように丁寧に調整を行い、被せました。 |
| 治療期間 | 約2週間 |
| おおよその費用 | ¥132.000- |
| 術後の経過・現在の様子 | 「とてもきれいになり嬉しい。これでマスクを外してもお口を大きく開けて笑うことができます」と喜んでいただけました。 |
| 治療のリスクについて | ・セラミックは使用環境によって外れてしまうことがあります。 ・セラミックも十分なメンテナンスを行わないと、周辺の歯から虫歯になることがあります。 ・強い食いしばりや硬度の高いものを誤って噛むと割れてしまうことがあります。 ・治療が終了しても、メンテナンスとして約3ヶ月に一度の定期検診をご案内しております。 |


