ceramic 70代女性「白い被せ物が欠けたのか黒く見えるので新しくしたい」フルジルコニアクラウンで治療した症例
2022.11.30
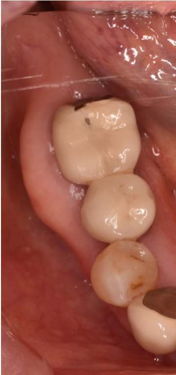
治療前
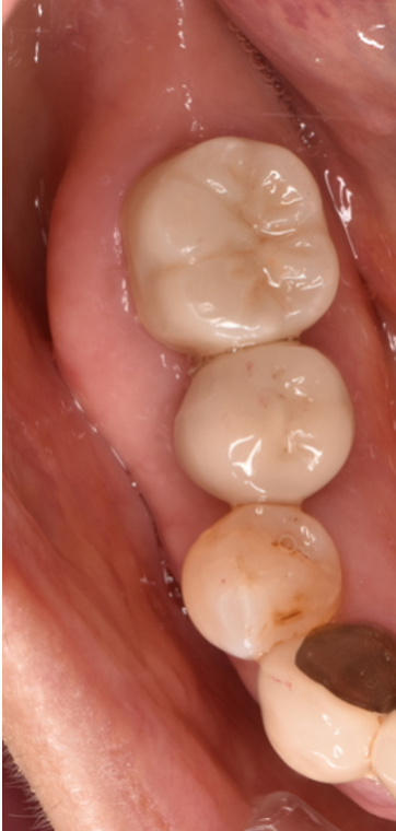
治療後
| 年齢と性別 | 70代 女性 |
|---|---|
| ご相談内容 | 「白い被せ物が欠けたのか黒く見えるので新しくしたい」とご相談いただきました。 |
| カウンセリング・診断結果 | 診察したところ、長年噛む力がかかっていたところがすり減り、中の金属が見えてしまっていた状態でした。 |
| 行ったご提案・治療内容 | 「新しい被せ物は、簡単に欠けないような強度がある素材が良い」との患者様のご希望により、人工のダイヤと呼ばれるほどの強度があるフルジルコニアクラウンでの治療をご提案しました。 |
| 治療期間 | 型取りから調整、装着まで約2週間 |
| おおよその費用 | フルジルコニアクラウン(1歯分):¥90,000-(税別) |
| 術後の経過・現在の様子 | 噛み合わせは問題なく、「自分の歯みたい」と見た目にも大変ご満足いただけました。 現在は3ヶ月ごとに健診・クリーニングにご通院いただいています。 |
| 治療のリスクについて | ・セラミックは使用環境によって外れてしまうことがあります。 ・セラミックも十分なメンテナンスを行わないと、周辺の歯から虫歯になることがあります。 ・強い食いしばりや硬度の高いものを誤って噛むと割れてしまうことがあります。 ・治療が終了しても、メンテナンスとして約3ヶ月に一度の定期検診をご案内しております。 |


