ceramic 70代女性「右上の歯がひどく痛い」痛みの原因の歯を抜歯し、連結してあった歯をフルジルコニアクラウンで治療した症例
2022.11.30
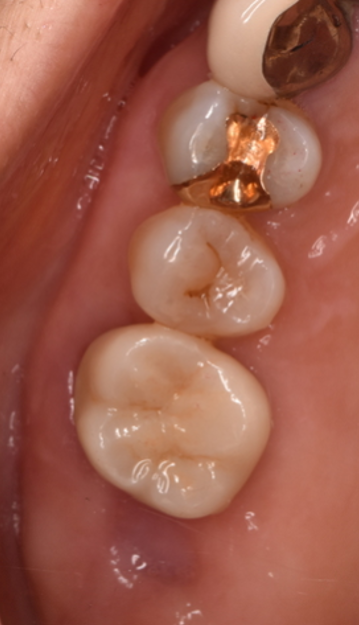
治療前
治療後
| 年齢と性別 | 70代 女性 |
|---|---|
| ご相談内容 | 「右上の歯の痛みがひどく、痛み止めを5時間おきに飲んでいる。どうにかしてこの痛みから解放してほしい」とご相談いただきました。 |
| カウンセリング・診断結果 | 初診時に、レントゲン・口腔内写真・歯周病検査を行ない確認したところ、過去に根の治療を行った右上の1番奥の歯が、根の先で感染を起こしていました。 歯茎から膿も出ていて、保存が難しい状態であることをご説明しました。 |
| 行ったご提案・治療内容 | 右上の1番奥の歯は、その手前の歯と被せ物で連結してある状態でした。 そのため、1番奥の歯を抜歯するために、まずは被せ物を切断しました。 残った手前の歯は、長持ちさせるため、人工のダイヤと呼ばれるほどの強度があるフルジルコニアクラウンで治療を行いました。 |
| 治療期間 | ・保険診療の抜歯:1日(約1週間後に消毒にご来院いただきます) ・自由診療のフルジルコニアクラウン:型取りから調整、装着まで約2週間 (保険診療と自由診療は別日の診療) |
| おおよその費用 | ・保険診療 抜歯(1歯分):約¥1,500- (保険負担 3割の場合) ・自由診療 フルジルコニアクラウン(1歯分):¥90,000-(税別) |
| 術後の経過・現在の様子 | 「しっかり噛めるようになった。なんでも食べられて嬉しい」と大変ご満足いただけました。 現在も3ヶ月ごとに健診・クリーニングにご通院いただいています。 |
| 治療のリスクについて | ・セラミックは使用環境によって外れてしまうことがあります。 ・セラミックも十分なメンテナンスを行わないと、周辺の歯から虫歯になることがあります。 ・強い食いしばりや硬度の高いものを誤って噛むと割れてしまうことがあります。 ・治療が終了しても、メンテナンスとして約3ヶ月に一度の定期検診をご案内しております。 |


