ceramic 30代女性「ゴールドの詰め物を白くしたい」金属で治療した歯を、目立ちにくい白さで強度もあるセラミックの詰め物「E-maxインレー」に替えて自然な見た目にした症例
2023.03.19
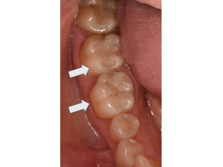
治療前
治療後
| 年齢と性別 | 30代 女性 |
|---|---|
| ご相談内容 | 「昔付けたゴールドの詰め物を、白い物に替えたい」とご相談いただきました。 |
| カウンセリング・診断結果 | 拝見したところ、右下の奥歯2本(第1大臼歯/6番、第2大臼歯/7番)にゴールドの詰め物が入っており、口を開けた時にやや目立つ印象でした。 |
| 行ったご提案・治療内容 | 患者様のご希望に沿って、ゴールドの詰め物を外してから型を取り、白い詰め物を作製して歯を修復する治療を行いました。 新しい詰め物の種類は、目立ちにくい白さで適度な強度もあるセラミックの「E-maxインレー」をご提案しました。 セラミックは歯によく馴染んで見た目が良く、虫歯にもなりにくいことを丁寧にご説明したところ、同意いただきました。 |
| 治療期間 | 約2週間 |
| おおよその費用 | E-maxインレー2歯分 約90,000円 |
| 術後の経過・現在の様子 | ご自身の歯に馴染んだ見た目になりました。噛み合わせも問題ありません。 患者様にも「口を開けた時に気にならなくなり嬉しい。食事もしっかり噛めている」と大変ご満足いただきました。 治療した歯を長くお使いいただけるよう、現在は定期的なメンテナンスでご来院いただいています。 |
| 治療のリスクについて | ・セラミックは使用環境によって外れてしまうことがあります。 ・セラミックも十分なメンテナンスを行わないと、周辺の歯から虫歯になることがあります。 ・強い食いしばりや硬度の高いものを誤って噛むと割れてしまうことがあります。 |


