ceramic 40代女性「上の前歯の点々と、色味が気になる」前歯の被せ物と、神経のない歯「失活歯」を、白くて変色しにくく強度が高い「ジルコニアクラウン」で自然な見た目にした症例
2023.03.21
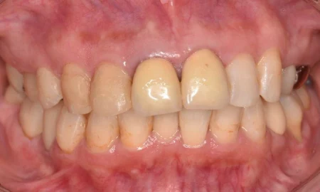
治療前
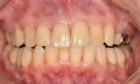
治療後
| 年齢と性別 | 40代 女性 |
|---|---|
| ご相談内容 | 「上の前歯の点々と、色味が気になる」とご相談いただきました。 |
| カウンセリング・診断結果 | 患者様は「前歯3本(左右中切歯/1番と右側切歯/2番)だけ黄色味が強いのが気になっている」とおっしゃっていました。 拝見したところ、左右中切歯は、保険診療で作製できる、金属の周りをプラスチックで覆った被せ物「レジン前装冠」が装着されていました。 そのうちの1本は、表面のレジンが剥がれ、中の金属部分が見えてきていました。 右上の前歯(側切歯)は、以前歯の根っこの治療「根管治療」を行って神経がない歯「失活歯」のため、色が黒ずんでいました。 また被せ物を除去したときに、内面で虫歯が進行している可能性がありました。 |
| 行ったご提案・治療内容 | 患者様には、保険診療で新しいレジン前装冠を装着する方法と、自由診療で自分の歯により近い自然な色の被せ物を装着する方法をご提案しました。 保険診療の被せ物は1歯約1万円程度で被せることが可能ですが、選べる色の種類も少なく、今以上にきれいにすることは難しいことをご説明しました。 一方、自由診療の被せ物は1歯約10万円程しますが、色も豊富で変色も少ないため、自然な仕上がりを維持しやすいこともご説明しました。 側切歯に関しては、失活歯のためホワイトニングで色を白くすることが難しいので、中切歯と同じように被せ物を装着して見た目の改善を行うことをお勧めしました。 また、型どりを行う前に、虫歯があれば治療をしてから被せ物を作製することもご説明しました。 患者様は自由診療を希望され、治療への同意もいただきました。 被せ物の種類は、白くて変色しにくく、人工ダイヤモンドとも呼ばれる強度を持つ「ジルコニアクラウン」で治療を行いました。 |
| 治療期間 | 約2ヶ月 (1本の虫歯治療、仮歯期間を含めて) |
| おおよその費用 | 400,000円 |
| 術後の経過・現在の様子 | 3本の被せ物は、周囲の歯によくなじみ、見た目に違和感がありません。 噛み合わせなど使用感も問題なく、経過は良好です。 患者様は自然な見た目の仕上がりを、大変喜ばれていました。 現在は、定期的にメンテナンスにてご来院されています。 |
| 治療のリスクについて | ・お口の中の経年変化に伴い、歯茎が下がって被せ物と歯茎の間に隙間が生じる可能性があります。 ・ジルコニア、オールセラミックスなどの被せ物は金属ではないため、噛み合わせの関係や何かの拍子に欠けたり割れてしまうことが稀にあります。 |


