case 症例紹介
-
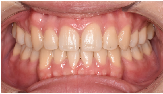
セラミック 2021.0930代 女性「銀歯を白くしたい」保険のレジンと自由診療のセラミックで白くした症例
-
セラミック 2021.0930代女性「銀歯をすべて白くしたい」E-maxセラミックと保険のレジンで白くした症例
-
セラミック 2021.0930代女性「虫歯をセラミックで治したい」むし歯治療後にセラミックのインレー・クラウンを使用した症例
-
一般歯科 2021.0930代男性「歯の茶渋が気になる」保険のクリーニングで着色除去をした症例
-
セラミック 2021.0750代男性「銀歯を白くしたい」E-max のインレーで白くした症例
-
ホワイトニング 2021.0730代女性「歯を白くしたい」オフィスホワイトニングで白くした症例
-
一般歯科 2021.0720代男性「歯石を取りたい」クリーニングで歯石を除去した症例
-
一般歯科 2021.0720代男性「前歯の着色が気になる」保険のクリーニングで着色を除去した症例
-
ホワイトニング 2021.0720代女性「歯が黄色い、白くしたい」オフィスホワイトニングで白くした症例
-
セラミック 2021.0740代男性「詰め物が取れた」ジルコニアのインレーで白く治療した症例
-
小児矯正 2021.077歳男の子「下の歯がガタガタに生えている」小児矯正で治療した症例
-
小児矯正 2021.0715歳女の子「前歯がガタガタに生えている」インビザラインで矯正治療した症例


