ceramic セラミック
-
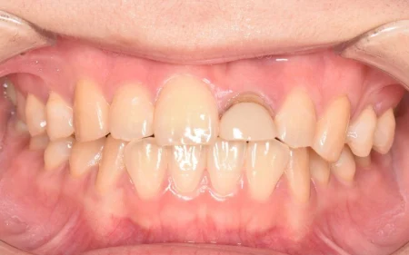
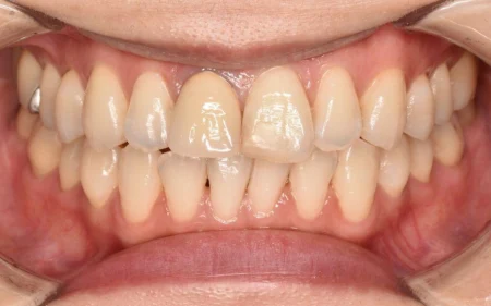
セラミック 2023.0430代女性「前歯が土台ごと取れた」樹脂製の「ファイバーコア」で土台を作った後、白く透明感がある「オールセラミック」で被せ直し、自然で美しい見た目に修復した症例
-
セラミック 2023.0440代男性「前歯が伸びて気になる」歯周病によって飛び出た歯を削り、丈夫で美しい「オールセラミック」で被せて、他の歯と長さを揃えて見た目を改善した症例
-
セラミック 2023.0430代男性「詰め物が浮いている気がする」虫歯と外れかけの詰め物を除去して、白くて目立ちにくいセラミック素材の「E-maxインレー」で治療した症例
-
セラミック 2023.0330代女性「ホワイトニング後、前歯の色浮きが気になる」色味が合っていなかった被せ物を「オールセラミック」で作り直し、統一感のある自然な見た目に改善した症例
-
セラミック 2023.0330代女性「上の前歯の色味が気になる。保険で治したい」変色していたプラスチックの詰め物を新たに作り直して、見た目を白く美しく改善させた症例
-
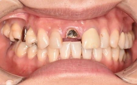
セラミック 2023.0310代女性「以前治療した前歯が気になる。インプラントも検討している」白い土台と「オールセラミッククラウン」で被せ物を作り直し、歯ぐきの形を整えて自然な見た目になった症例
-
セラミック 2023.0360代女性「奥歯の詰め物が外れた」再び虫歯になった歯を、適合が良く虫歯になりにくいセラミックの「E-maxインレー」で見た目も自然に治療した症例
-
セラミック 2023.0330代男性「歯がしみる」繰り返していた虫歯を取り除き、細菌が付着しにくく強度もあるセラミック「E-maxインレー」で見た目もきれいに修復した症例
-
セラミック 2023.0350代女性「奥歯が噛むと痛い」銀歯を外して虫歯を取り除き、金属アレルギーを起こさないセラミックの詰め物「E-maxインレー」で見た目も自然に治療した症例
-
セラミック 2023.0340代女性「上の前歯の点々と、色味が気になる」前歯の被せ物と、神経のない歯「失活歯」を、白くて変色しにくく強度が高い「ジルコニアクラウン」で自然な見た目にした症例
-
セラミック 2023.0330代女性「虫歯の治療を何度もしている」銀歯の下の虫歯を取り除き、虫歯になりにくく目立たない白さのセラミックの詰め物「E-maxインレー」で修復した症例
-
セラミック 2023.0330代女性「ゴールドの詰め物を白くしたい」金属で治療した歯を、目立ちにくい白さで強度もあるセラミックの詰め物「E-maxインレー」に替えて自然な見た目にした症例


